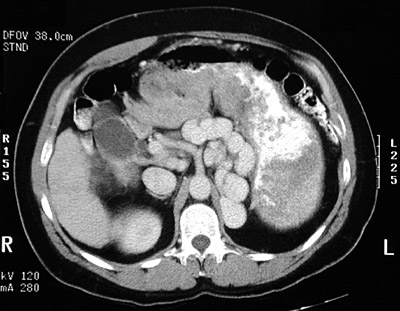
This abdominal CT scan demonstrates tortuous, enlarged veins representing gastric varices in a patient with cirrhosis of the liver. The stomach is filled with some bright contrast. The liver is small and most of it is located superiorly to this slice. Varices result from portal hypertension and increased collateral venous flow. |
![]() ![]() ![]() |