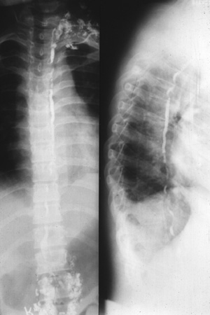
| The thoracic duct drains most of the lymphatic channels in the body into the right subclavian vein. The normal thoracic duct, which lies in the posterior chest just to the left of the vertebral column, is shown here in PA view in the left panel and in oblique view in the right panel with a lymphangiogram, a procedure rarely performed. |
![]() |