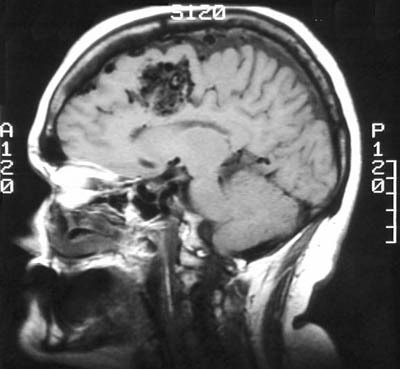
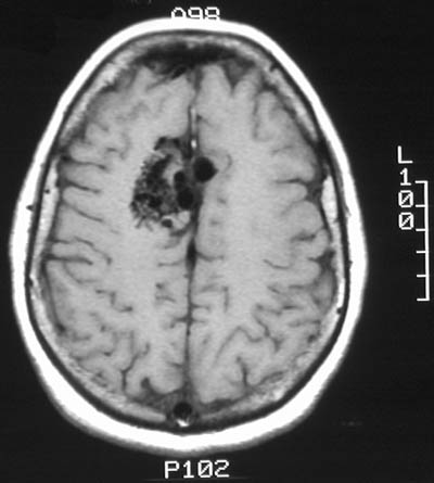
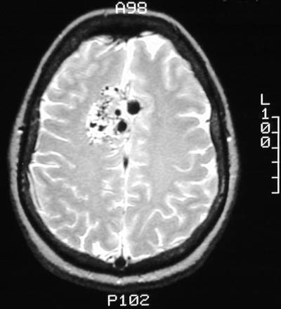
There is a vascular malformation in the right medial frontal lobe, as seen above in sagittal view with T1 weighted MRI scan. The lesion is seen below in axial view with T1 and T2 weighted MRI scans. Note the large, irregular vascular channels.