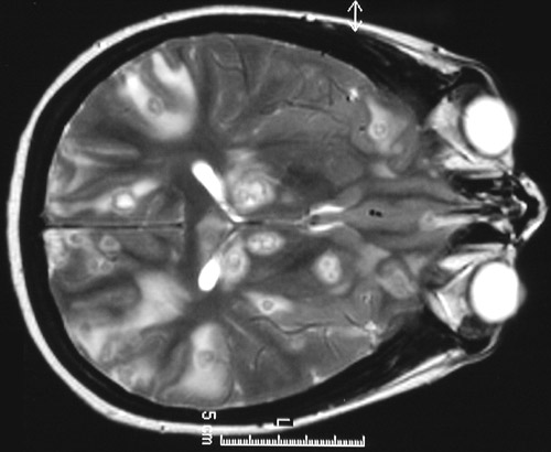
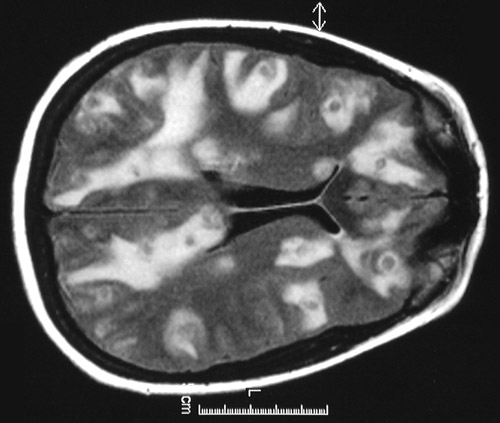
The T2 weighted MRI scan above and the FLAIR scan below demonstrate numerous brightly enhancing
ring enhancing abscesses
with prominent surrounding
edema
, which is bright on these scans. These are
Nocardia braziliensis
abscesses.