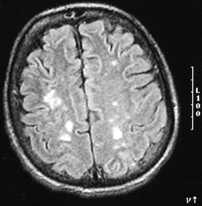
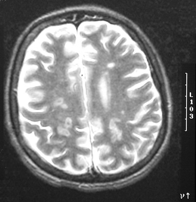
| The axial T2 weighted MRI scan above and the axial FLAIR MRI scan below, both of the cerebrum, reveal multiple bright embolic infarcts in a patient with infective endocarditis of mitral and aortic valves. Since the emboli may not completely occlude the vessel, there can be hemorrhage into the infarct. |
![]() |