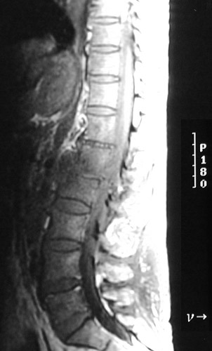
| The sagittal MRI scan view of the lumbar region of the spinal cord above demonstrates a fluid collection not as bright as the normal CSF with the T2 weighted scan, indicative of an epidural abscess. The infection has spread into the adjacent L1-L2 vertebral bodies. With the T1 weighted scan below can be seen the same epidural abscess. |
![]() |