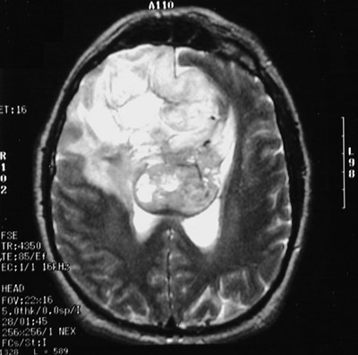
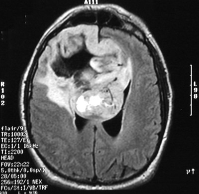
| This T2 weighted fast spin echo MRI scan above in axial view demonstrates a large glioblastoma multiforme involving much of the right cerebral hemisphere. The tumor is variegated and has central necrosis and an irregular border. It crosses the midline via the corpus callosum. The view below is a T2 weighted FLAIR image. |
![]() |