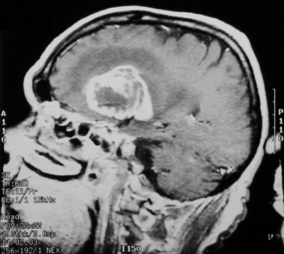
| This sagittal view MRI scan demonstrates a large glioblastoma multiforme of the right cerebral hemisphere with central lucency and an irregular, enhancing border. There is surrounding edema as well, which may be acute enough to produce signs of increased intracranial pressure, such as pappiledema, and even herniation. |
![]() |