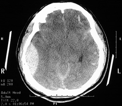
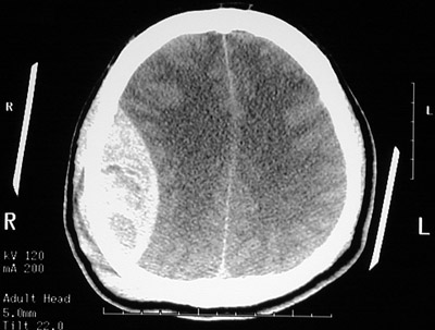
| In this axial head CT scan without contrast there is a large epidural hematoma on the right, with a "lens shaped" outline as the smooth dura is indented against the underlying cortex. The acute blood collection appears bright on CT. This patient fell from a height and struck the right side of his head, severing the middle meningeal artery. This epidural hematoma collected within hours. In the view seen below, at a level higher than the view above, there is a midline shift of the falx cerebri. |
![]() |