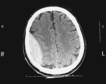
Click on the epidural hematoma in the CT scan above:

This is an axial head CT scan without contrast demonstrating a large epidural hematoma with right to left shift and ventricular narrowing. In the image below, the top of the skull is removed to reveal the middle meningeal artery which has emerged from the foramen spinosum to branch over the surface of the dura.