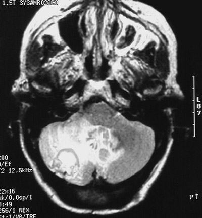
This T2 weighted MRI scan in axial view demonstrates a
cerebellar hemangioblastoma
that is partly cystic. There is also
edema
, which appears bright, adjacent to this well-circumscribed mass in the cerebellum.