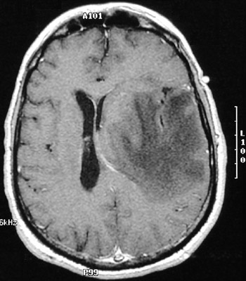
This MRI scan in axial view demonstrates cerebral edema from a nearby abscess, not seen at this level. The mass effect has resulted in a midline shift to the right and near obliteration of the left lateral ventricles.