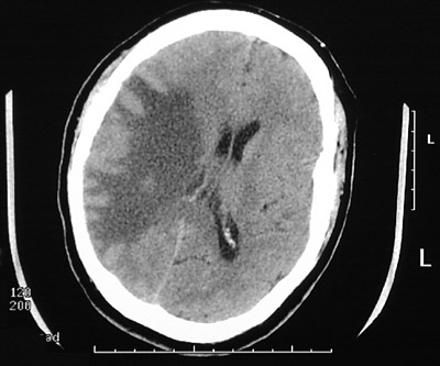
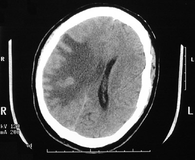
| The CT scan views of the head above and below demonstrate areas of low attenuation representing marked vasogenic edema adjacent to an area of tuberculous meningitis and tuberculoma formation in a patient with disseminated tuberculosis. Note the effacement of the lateral ventricles on the left and the shift of the midline. |
![]() |