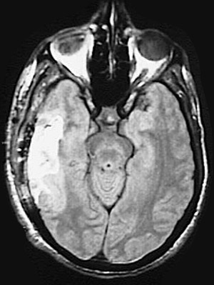
Click on the area of hemorrhage in the MRI scan above:

This axial MRI scan demonstrates a large area of hemorrhage in the right temporal lobe as a consequence of a ruptured vascular malformation.