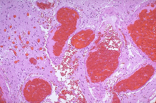
This is another vascular malformation with smaller vascular channels. The channels can be arterial or venous. A large vascular malformation can mimic a brain tumor.