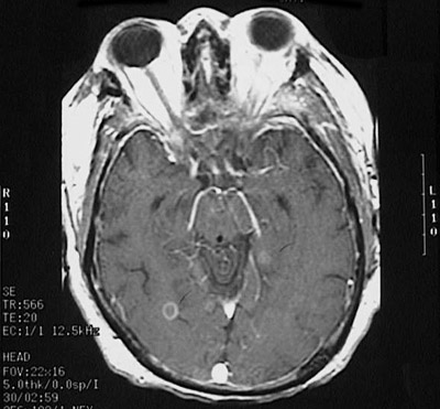
Click on the cerebral abscess in the MRI scan above:

This magnetic resonance imaging (MRI) scan of the head in transverse (axial) view demonstrates a small enhancing abscess in the posterior parietal region of the brain in a patient who had septicemia.