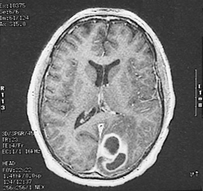
The MRI scan shown here in axial view demonstrates a couple of cerebral abscesses with enhancement at their periphery in the left occipital lobe.