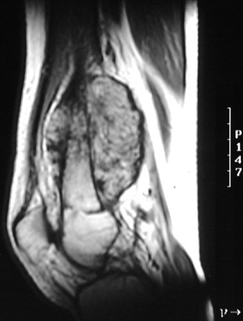
MRI scans of an osteosarcoma of the distal femur are seen here (above: axial T2 weighted FSE with fat saturation, below: sagittal T1 weighted FSEIR). There is extensive
cortical disruption
.