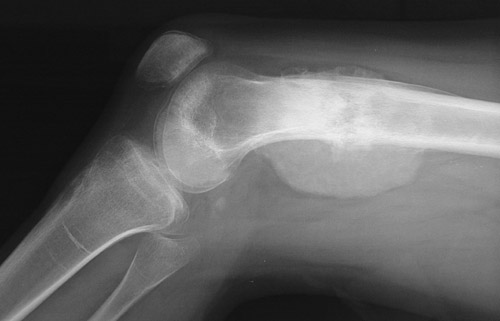
| In these lateral radiographs of the distal femur, an osteosarcoma involves the metaphyseal region. The tumor erodes and destroys the bone cortex, extending into soft tissue where irregular tumor bone with calcification is seen. There is extensive mass effect in the soft tissue adjacent to the bone. |
![]() |