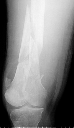
This radiograph reveals a
highly comminuted
spiral fracture of the distal femur with
displacement of bone fragments
. This was the result of a high speed vehicular accident.