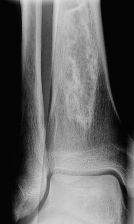
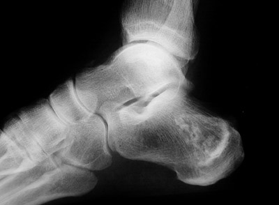
The focal irregular areas of bone remodelling seen above in the calcaneus and below in the distal tibia represent areas of bone infarction. This is an uncommon event, but can occur with sickle cell anemia.