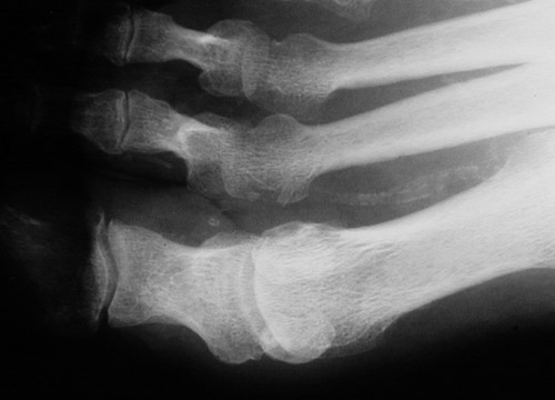
| Here is a case of osteomyelitis involving the great toe of the foot. Note the sclerosis with adjacent rarefaction of bone. This condition can be difficult to treat, since bone is not highly vascular, so high antibiotic concentrations can be difficult to attain. A closer view of this process is shown below. |
![]() |