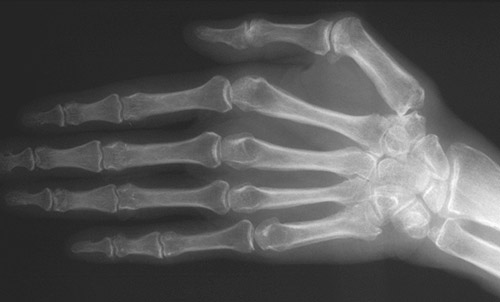
| The hand here shows changes of hypertrophic osteoarthropathy with periosteal new bone formation at the ends of metacarpals and proximal interphalangeal joints of the hands. This phenomenon may be accompanied by "clubbing" with increased soft tissue and edema of the digits. This condition is most often seen with underlying pulmonary malignancies. Rarely, it is a familial phenomenon. |
![]() |