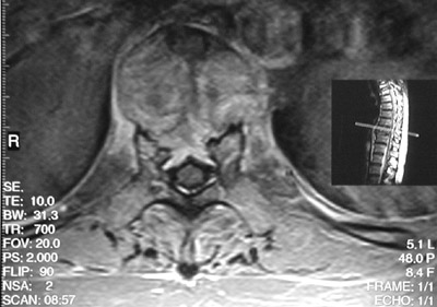
This MRI scan in axial view demonstrates bony destruction of the T3 vertebral body in a patient with metastatic renal cell carcinoma.