 |
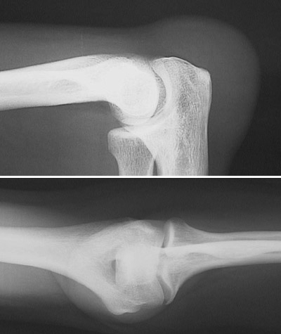
There is soft tissue swelling around the elbow in this radiograph. This is the result of bursitis. Repetitive motion may irritate the joint and surrounding soft tissues, leading to fluid collection into bursal sacs, here the olecranon bursa (another name for the process at this site is "tennis elbow"). There is pain and swelling on physical examination. If chronic, there can be hemorrhage and calcification with chronic inflammation and fibrosis.
|