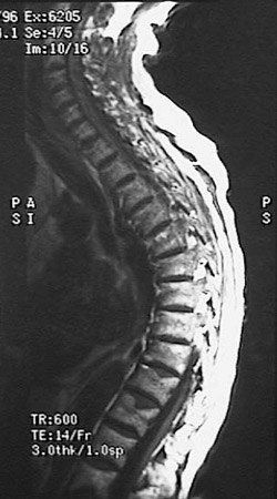
This MRI of the spine demonstrates marked kyphosis with
compressed fractures
. Such a finding can be seen as a consequence of osteoporosis.