Click on the osteochondroma in the MRI scan above:

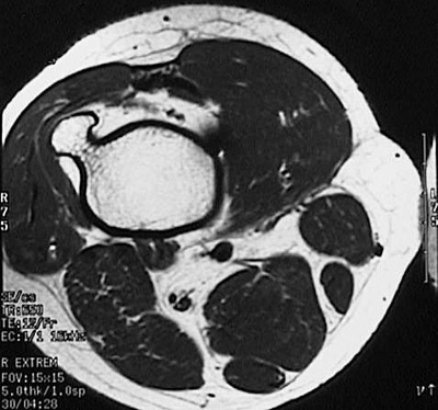
This axial MRI scan demonstrates an osteochondroma projecting laterally from the metaphyseal region of the distal femur.