
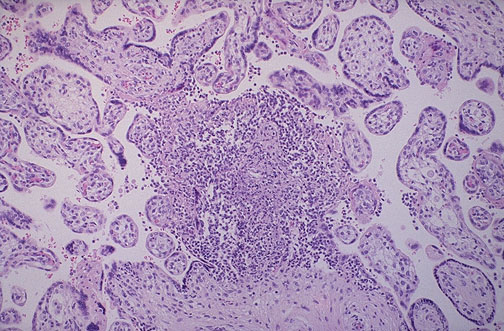
| Placental villitis is shown here with a small microabscess containing mostly neutrophils in a case of congenital infection with Listeria monocytogenes. Listeriosis is generally not life-threatening to the mother, but is potentially a cause for fetal demise. |
![]() |