
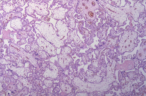
| Hydrops of the placenta, as shown here, almost always accompanies fetal hydrops. Causes for fetal hydrops may include fetal anemia, fetal cardiac disease, congenital anomalies, and congenital infections, but there are a multitude of potential causes for hydrops. |
![]() |