
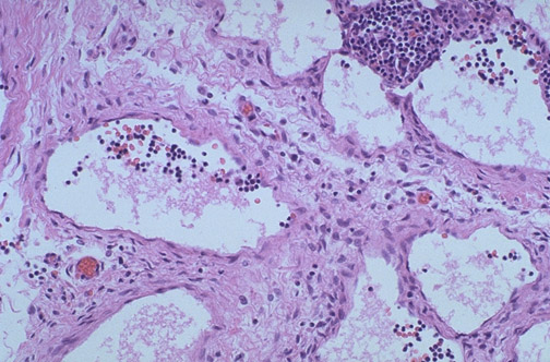
| At high magnification, the histologically benign nature of the lymphangioma is apparent. There are enlarged lymphatic spaces lined by a thin endothelium. However, such lesions tend to be poorly circumscribed and extend widely into surrounding soft tissues, making their surgical removal difficult. |
![]() |