
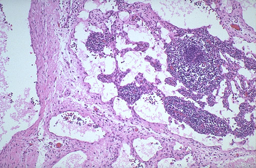
| Here is the microscopic appearance of the lymphangioma at medium power, with large lymphatic spaces lined by a thin endothelium. The adjacent stroma has lymphoid nodules. Lymphangiomas in the pediatric age range tend to involve head, neck, and chest. |
![]() |