
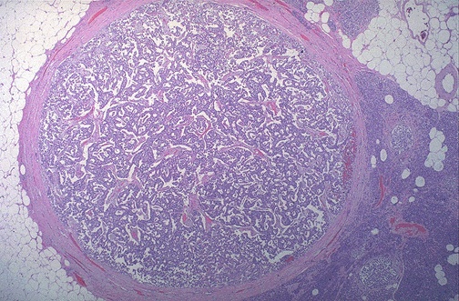
| This is a small islet cell tumor of the pancreas. It is well encapsulated and is an adenoma. Both benign and malignant islet cell tumors may, in some cases, function and secrete one or more hormones, including insulin, glucagon, gastrin, somatostatin, or even ACTH. |
![]() |