
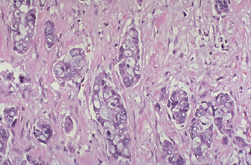
| At high magnification, this adenocarcinoma of the pancreas has very poorly differentiated glands and extensive desmoplasia (production of collagenous stroma). Typical mutations found in pancreatic adenocarcinomas include K-RAS (present in many adenocarcinomas), p16, p53 (present in many carcinomas), and SMAD4. |
![]() |