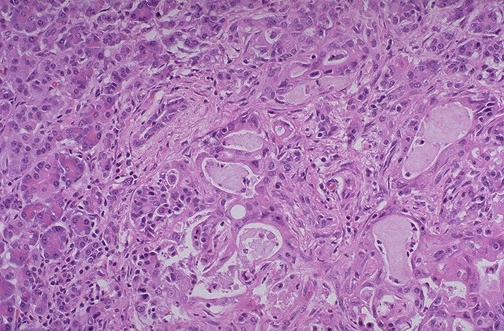
At high magnification, the microscopic appearance of an adenocarcinoma of the pancreas is seen. At the left can be seen
normal pancreatic acini
, but the neoplasm is composed of
small irregular glands
.