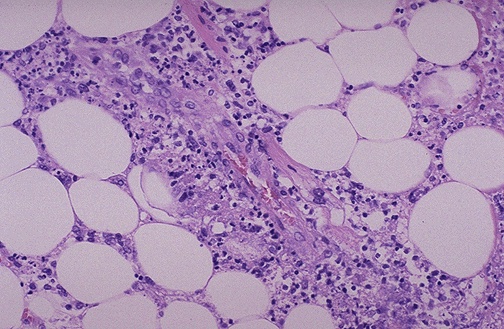
The neutrophilic infiltrates of acute pancreatitis can be seen here with early fat necrosis of several steatocytes. Severe acute abdominal pain is often present. The serum amylase and lipase are typically elevated.