
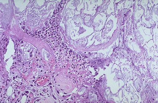
| Microscopically, acute pancreatitis has necrosis of pancreatic parenchyma (lower left) with acute inflammation and fat necrosis (right and upper part of photograph). Fat necrosis appears grossly as tan-yellow flecks of soft material within and on the surface of pancreas as well as on mesentery. |
![]() |