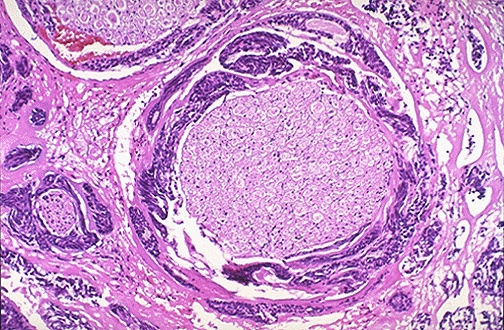
Branches of peripheral nerve are invaded by nests of malignant cells. This is termed perineural invasion. This is often the reason why pain associated with cancers is unrelenting.