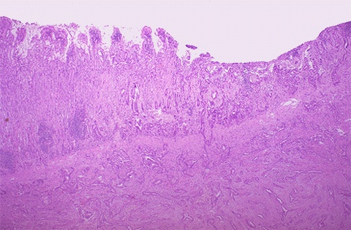
Microscopically, invading adenocarcinoma can be seen here. Normal gastric epithelium at the left merges with the carcinoma at the right, and irregular neoplastic glands infiltrate downward into the submucosa.