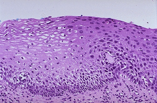
At high magnification, the normal cervical squamous epithelium at the left merges into the dysplastic squamous epithelium at the right in which the cells are more disorderly and have darker nuclei with more irregular outlines.