
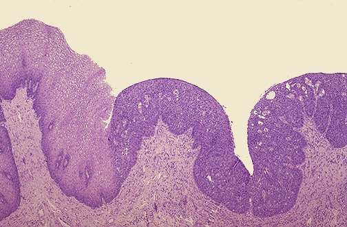
| This is the next step toward neoplasia. Here, there is normal cervical squamous epithelium at the left, but dysplastic squamous epithelium at the right. Dysplasia is a disorderly growth of epithelium, but still confined to the epithelium. Dysplasia is still reversible. |
![]() |