
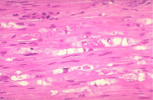
| This is Wallerian degeneration seen distal to the site of a traumatic transection in a peripheral nerve. Regeneration is possible as the proximal nerve stump undergoes axonal sprouting and Schwann cells proliferate to remyelinate the nerve fiber. Regeneration proceeds along the course of the degenerated axon at a rate of about 2 mm per day. |
![]() |