
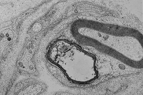
| This electron micrograph demonstrates Schwann cell basement membrane surrounding regrowing axons that have followed the nerve peripherally following injury. Whichever axon reaches the end first will win, and remains myelinated and supported by the Schwann cell. Others will degenerate. Normally, only a single axon per internode is supported by a Schwann cell in a myelinated peripheral nerve. (The dot-like structures are collagen fibers seen on end.) |
![]() |