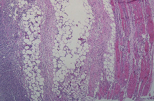
At low magnification, extensive inflammation can be seen throughout the muscle and adjacent fibroconnective tissue and adipose tissue of the thigh. This is necrotizing fasciitis.