
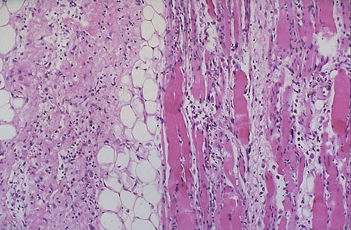
| Necrotizing fasciitis is an uncommon complication, but can be devastating because it is often infectious, with spread through soft tissue planes. Note the myonecrosis with many neutrophils extending through the muscle and soft tissues, indicative of marked acute inflammation. Surgical drainage and debridement are necessary. |
![]() |