
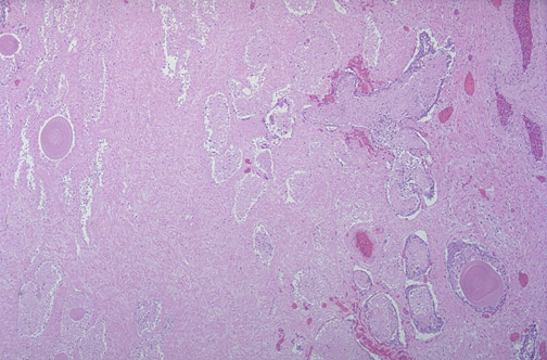
| Seen at the left is an area of prostatic infarction, which does not occur often. Such infarcts are typically small, but may cause discomfort and may increase the serum prostate specific antigen. There can be squamous metaplasia of glands surrounding such an infarct. |
![]() |