
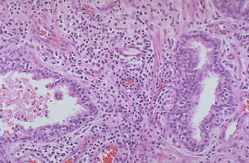
| This is chronic prostatitis. Numerous small dark blue lymphocytes are seen in the stroma between the glands. There may be a bacterial agent accompanying this inflammation, and cystitis or urethritis may also be present. However, more commonly, chronic prostatitis is abacterial and there is no history of urinary tract infection. The serum prostate specific antigen may be slightly elevated. |
![]() |