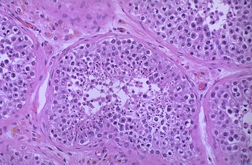
Pink Leyding cells are seen here in the interstitium. Note the pale golden brown pigment within the cytoplasm of these cells as well. There is active spermatogenesis in the seminiferous tubules.