
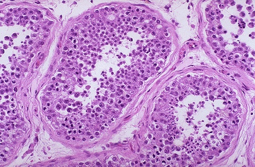
| This is the microscopic appearance of the normal testis. The seminiferous tubules have numerous germ cells. Sertoli cells, with cytoplasm that extends between the germ cells, are inconspicuous. Small dark oblong spermatozoa are seen toward the center of the tubules. |
![]() |