
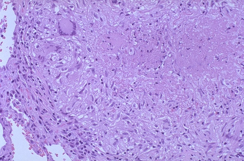
| The edge of a pulmonary granuloma is shown here at medium power magnification. Amorphous pink caseous material composed of the necrotic elements of the granuloma as well as the infectious organisms is present. This area is ringed by the inflammatory component with epithelioid cells, lymphocytes, and fibroblasts. A Langhans giant cell is seen as well. |
![]() |