
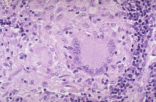
| At high magnification, the granuloma demonstrates that the epithelioid macrophages are elongated with long, pale nuclei and pink cytoplasm. The macrophages organize into committees called giant cells. The typical giant cell for infectious granulomas is called a Langhans giant cell and has the nuclei lined up along one edge of the cell. The process of granulomatous inflammation takes place over months to years. (Did you ever hear of a committee action that was completed in a short time? Think of a granuloma as a "task force".) |
![]() |